OLGU 220302Bel Ağrısı, Bacak Ağrısı, Nörojenik Kladikasyon, Dejeneratif Spondilolistezis, Faset Eklem, Ligamentum Flavum
Yaş-Cinsiyet: 45 yaşında kadın hasta.
Şikayet: Bel ve bacaklarda ağrı, yürüme zorluğu.
Hikaye: Yakınmalar senelerdir var, son 7 ayda artmış. Yürümekle ağrılar artıyor, nörojenik kladikasyon pozitif.
Özgeçmiş: Obezite dışında özellik yok.
Muayene: Nörolojik muayene normal, bel ektansiyonu ağrılı.
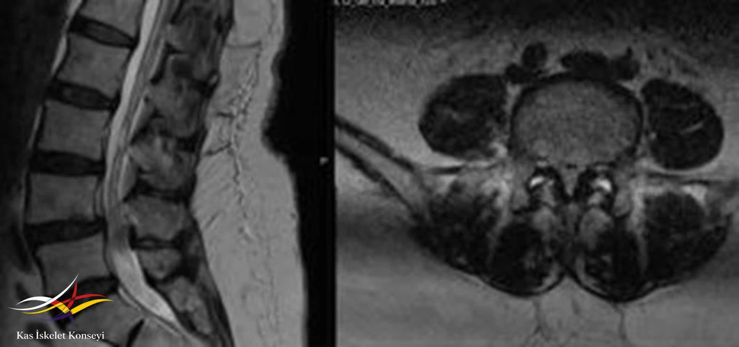
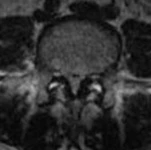
İncelemeler: Lomber MRG'de L4-5 seviyesinde dejeneratif listezise bağlı daralma mevcut.

Resim 1. Lomber MRG'de L4-5 seviyesinde faset eklemlerde ayrışma, ligamentum flavum kalınlaşmasıyla seyreden grade 1 spondilolistezis ve buna sekonder kanal darlığı görülmekte.
SONUÇ VE YORUM
L4-5 seviyesindeki dejeneretif listezise sekonder kanal darlığı nörojenik kladikasyoyu açıklamaktadır. Kilo verme, egzersiz, fizik tedavi ve algolojik yaklaşımlarla semptomatik rahatlama sağlanabileceği, ancak genç yaştaki bu hastanın uzun dönemde cerrahi adayı olduğu öngörüldü.
Olguyu gönderen: Dr. Murat Birtane
Kategori: