OLGU 250827Diz Protezi, Düşük Ayak, Cerrahi Komplikasyon, Protez Revizyonu, Peroneal Sinir, Emg, Periferik Sinir
Yaş-Cinsiyet: 62 yaşında kadın hasta.
Şikayet: Sağ ayağında güçsüzlük (düşük ayak).
Hikaye: Dört yıl önce sağ dize total protezi uygulanan hastanın üç ay önce ortopedi kliniğine aynı dizde ağrı ve eklemde kısıtlılık ile başvurduğu ve mevcut protezin revize edilmesi kararı verildiği öğrenildi. Başvurmasından iki ay önce revizyon diz protezi yapılıyor. Ameliyattan sonra düşük ayak gelişiyor. Ev egzersizleri, ortez ve multivitamin ile taburcu ediliyor.
Özgeçmiş: 4 yıl sağ diz protezi, HT.
Muayene: Sağ ayak dorsifleksiyon kas gücü 0/5, diğer kas güçleri tam. Sağ diz EHA fleksiyon aktif 100 dereceye kadar ağrısız, ekstansiyon tam. Pasif EHA 110 derece ağrısız.
İncelemeler: EMG sonucuna göre hastadan operasyon seviyesi üstü lezyonları araştırmak için lomber ve kalça MR isteniyor. Her iki bölgeye yönelik MR'da belirgin patoloji gözlenmiyor.
Klinik Seyir: Hasta düşük ayak için rehabilitasyona alınıyor. 30 seans sonunda bir cevap alınamıyor.

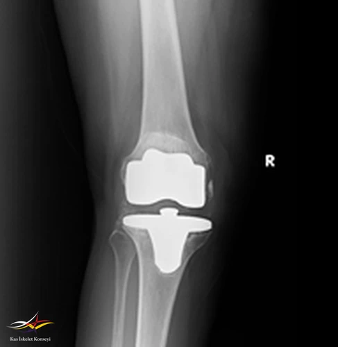
Resim 1. Revizyon ameliyatı öncesi AP direkt grafi.

Resim 2. Revizyon ameliyatı öncesi lateral direkt grafi.

Resim 3. Revizyon ameliyatı sonrası AP direkt grafi.

Resim 4. Revizyon ameliyatı sonrası lateral direkt grafi.

Resim 5. EMG raporu-1.

Resim 6. EMG raporu-2.

Resim 7. EMG raporu-3.
SONUÇ VE YORUM
Konsey görüşleri:
- Operasyon sırasında kullanılan manşona bağlı hasarlanmanın sorgulanması (hastanın cerrahı manşon kullanıldığını ancak vakanın 1 saat civarı bittiğini belirtiyor).
- USG ile peroneal sinir takibi ve sağlıklı tarafla karşılaştırılması.
- Olası nedenler arasına operasyon sırasında ekartasyona bağlı hasarlanma araştırılması.
- Rehabilitasyon, ev egzersiz programı ve ortez kullanımına devam edilmesi.
- EMG kontrolü.
Olguyu gönderen: Dr. Ali Uygur
Kategori: