OLGU 250910Bacak Ağrısı, Radikülopati, Bacakta Uyuşma, Schwannoma
Yaş-Cinsiyet: 52 yaşında kadın hasta.
Şikayet: Bel ağrısı, sol ayakta kuvvetsizlik ve uyuşukluk.
Hikaye: Başvurmasından 10 gün önce bel ağrısına eklenen sol ayakta kuvvetsizlik ve uyuşukluk şikayeti başlamış. Tetikleyen bir faktör tariflenmedi.
Muayene: Kas gücü solda L4 myotomunda 4/5, L5'de +4/5 gücünde, Laseque -/-, DBK -/- , patellar refleks hipoaktif, lomber EHA'lar açık.
İncelemeler:
- EMG: L4-5'te kronik nörojenik tutulum.
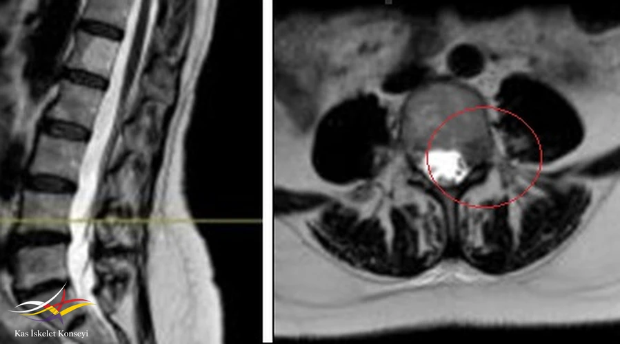
- Lomber MRG: Disklerde yükseklik kaybı veya anüler yırtık yok. L4-5 te solda forameni içinde, kök üzerinde şüpheli bir lezyon lezyon saptanması üzerine yapılan kontrastlı MRG'de lezyonda yoğun ve homojen kontrast tutulumu görüldü ve kitle lehine yorumlandı.

Resim 1. Lomber MRG'de L4-5 seviyesinde sol nöral foramende kitle imajı görülüyor.

Resim 2. Kontrastlı MRG'de lezyonun yoğun kontrast tuttuğu görülmekte.
SONUÇ VE YORUM
Lezyon ön planda schwannom lehine yorumlandı ve operasyon önerildi.
Olguyu gönderen: Dr. Deniz Palamar