OLGU 251119Kasık Ağrısı, Bacakta Uyuşma, Bacak Ağrısı, Bel Ağrısı, Trokanterik Bursit, Trokanter Majör, Foraminal Stenoz, Polimyalgia Romatika
Yaş-Cinsiyet: 57 yaşında erkek hasta.
Şikayet: Sol bacak, bel ve kasık ağrısı, bacakta uyuşukluk.
Hikaye: 3-4 yıldır bulunan yakınmalar başvurmasından önceki bir aydır artmış.
Özgeçmiş: Anjiografi yapılmış ve antikoagülan kullanıyor.
Muayene: Nörolojik muyene normal. Kalça hareketleri solda ağrılı, FABER, FADIR (+).
İncelemeler: Lomber MRG: L4-5 diskal bulging ve sol foraminal stenoz var. Kalça MRG istendi, iki yanlı trokanterik bursit rapor edildi.

Resim 1. Lomber MRG, L4-5 seviyesi median kesit.

Resim 2. Lomber MRG, L4-5 seviyesi sağ paramedian kesit.

Resim 3. Lomber MRG, L4-5 seviyesi sol paramedian kesit foramen stenozunu göstermekte.

Resim 4. Kalça MRG koronal kesit, solda hakim iki yanlı trokanterik bursit ile uyumlu.

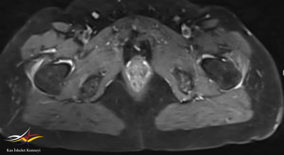
Resim 5. Kalça MRG, aksiyal kesit.
SONUÇ VE YORUM
Tedavi için öncelikle trokanterik bursa enjeksiyonları öngörüldü. Bu tedaviden alınacak yanıt görüldükten sonra mevcut lomber patolojisinin (foraminal stenoz) tekrar değerlendirilmesi önerildi. İki yanlı belirgin trokanterik bursit görülmesi nedeniyle polimyalgia romatika açısından da incelenmesi önerildi.
Olguyu gönderen: Dr. Cumhur Kılınçer
Kategori: