OLGU 260114
L5-S1 Düzeyinde Şüpheli Görünüm ve Ayırıcı Tanısı
Yaş - Cinsiyet / Meslek:
42 yaşında kadın hasta, spor eğitmeni.
Şikayet:
Sol kalçaya yayılan bel ağrısı.
Hikaye:
Yaklaşık 2–3 aydır devam eden ağrı mevcut. Uyuşma ve karıncalanma yok. Sabah tutukluğu yok. Ağrıyı artıran veya azaltan bir etmen fark etmemiş. Travma ve ateş yok.
Özgeçmiş:
Bilinen epilepsi mevcut. Levetirasetam dışında ilaç kullanımı yok. Başka hastalık yok.
Fizik Muayene:
DBKT bilateral negatif. Femoral germe testi negatif. FABER negatif. FADIR negatif. SİKT negatif. Kas gücü tam. Lomber EHA ağrılı ancak tam.
İncelemeler:
Laboratuvar: AFR normal. Rutin biyokimya normal. Brucella negatif. HLA-B27 negatif. Görüntüleme: Sakroiliyak MR olağan. Mevcut lomber MR’da L5–S1 düzeyinde spondilodiskit açısından şüpheli görünüm izlenmesi üzerine kontrastlı lomber MR istendi.
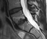
Resim 1: Lomber MRG T2 Sagittal
Resim 2: Lomber MRG T1 Kontrastlı
İlk Konsey Görüşü ve İleri İnceleme
Ayırıcı tanı (Modic Tip 1 dejenerasyon? Spondilodiskit?) için sintigrafi önerildi. NSAİİ ve hareket kısıtlaması önerildi.
Kemik Sintigrafisi Rapor Sonucu
TARTIŞMA VE SONUÇ
Kemik sintigrafisi görüldükten sonra spondilodiskit olasılığı elendi. L5-S1'deki disk lezyonu geçirilmiş bir travma ya da Schmorl nodülüne sekonder olarak artmış yoğun dejeneratif değişiklikler olarak değerlendirildi. 1600 mg/gün NSAİİ tedavisi ile kısmi fayda görüldü. Ağrı sadece sol değil sağ kasık bölgesine de ara ara yayılım gösteriyor artık ancak şiddet daha azdı. Hastaya fizyoterapi, günlük yaşam aktivitelerinde dikkat etmesi gerekenler ve kısıtlamalar önerildi ve takip planlandı.
Olguyu gönderen: Dr. Ali Uygur
Etiketler: