OLGU 260225Eklemlerde Yaygın Ağrı, Spondiloepifizyal Displazi Tarda, Omuz Eklem Kısıtlılığı, Dizlerde Şişlik, Boy Kısalığı, Coxa Vara, Kalça Ağrısı, Kalça Protezi
Yaş-Cinsiyet: 39 yaşında kadın hasta. Ev hanımı.
Şikayet: Eklemlerde yaygın ağrı.
Hikaye: Şubat 2026 da romatoloji polikliniğine başvuran hastanın yaklaşık 11 yaşından beri olan eklem ağrıları ve hareket kısıtlılığı şikayetlerinin son 6 ayda şiddetlendiği öğrenildi.
Hastanın ergenlik döneminden itibaren eklem ağrısı, ataklar halinde seyreden dizlerde şişlik ve boy kısalığı mevcut.
Hikayesinden 5 yaşında coxa vara nedenli diz operasyonu (3 kez tekrar edilmiş), yaşını hatırlayamadığı bacak boyu uzatma operasyonu (çocukluk döneminde), 11 yaşında omuz cerrahisi (etyoloji aydınlatılamadı), 32 yaşında sağ kalça protez operasyonu öyküsü var.
15 yaşında her iki dizden efüzyon nedenli aspirasyon yapılıyor.
Bu tarihten sonra eklem ağrılarına yönelik NSAİİ kullanma öyküleri mevcut.
Kızkardeşinde de aynı şikayetler var.
Hastanın ergenlik döneminden itibaren eklem ağrısı, ataklar halinde seyreden dizlerde şişlik ve boy kısalığı mevcut.
Hikayesinden 5 yaşında coxa vara nedenli diz operasyonu (3 kez tekrar edilmiş), yaşını hatırlayamadığı bacak boyu uzatma operasyonu (çocukluk döneminde), 11 yaşında omuz cerrahisi (etyoloji aydınlatılamadı), 32 yaşında sağ kalça protez operasyonu öyküsü var.
15 yaşında her iki dizden efüzyon nedenli aspirasyon yapılıyor.
Bu tarihten sonra eklem ağrılarına yönelik NSAİİ kullanma öyküleri mevcut.
Kızkardeşinde de aynı şikayetler var.
Özgeçmiş: Hipotiroidi.
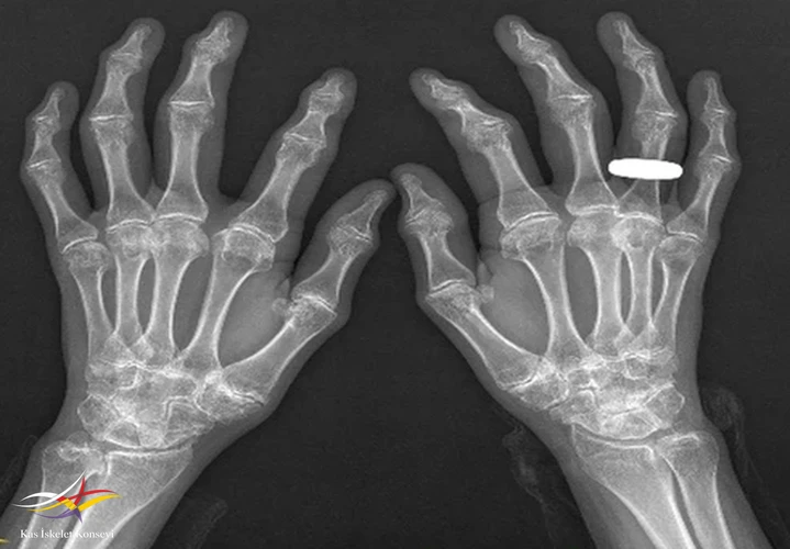
Muayene: Fizik muayenede omuz, el bilek,dirsek, kalça, ayak bilek rom kısıtlı. El PIF'lerde şişlik, büyümüş kemiksi eklem görünümü? Boy kısa, kifotik görünüm mevcut? Artrit yok, ateş, kilo kaybı,oral aft genital ülser, ağız göz kuruluğu, Raynauld fenomeni yok.
İncelemeler: Biokimyasal tetkikler normal, RF VE ANTİ CCP (-).
Klinik Seyir: Hasta dış merkezde Sero (-) RA tanısıyla Leflunomid, prednisolon 2.5 mg tedavisi alıyor. 4 aydır kullanıyor.
Hasta tekrar değerlendiriliyor. 14 yaşında pediyatri tarafından JIA tanısı konulduğu anlaşılıyor. Bu klinik bulgularla erişkin romatolojide 15 yaşında spondiloepifizyal displazi tarda tanısı alıyor. Klinik izlem ve takibi yapılıyor. Ancak hastanın şehir dışında yaşadığı için takiplerine gelmediği kız kardeşinde de aynı hastalık tanısı ile takip edildiği anlaşılıyor.
Dış merkez romatoloji hekimine bir not yazılıp DMARD tedavisi önerilmeden klinik izlem ve takibi yapılması gerektiği vurgulanıyor.
Hasta tekrar değerlendiriliyor. 14 yaşında pediyatri tarafından JIA tanısı konulduğu anlaşılıyor. Bu klinik bulgularla erişkin romatolojide 15 yaşında spondiloepifizyal displazi tarda tanısı alıyor. Klinik izlem ve takibi yapılıyor. Ancak hastanın şehir dışında yaşadığı için takiplerine gelmediği kız kardeşinde de aynı hastalık tanısı ile takip edildiği anlaşılıyor.
Dış merkez romatoloji hekimine bir not yazılıp DMARD tedavisi önerilmeden klinik izlem ve takibi yapılması gerektiği vurgulanıyor.

Resim 1.

Resim 2.

Resim 3.

Resim 4.

Resim 5.
SONUÇ VE YORUM
- Spondiloepifizyal displazi tarda (SEDT): Çocukluk sonu veya adölesan dönemde ortaya çıkan, özellikle omurga ve epifizleri etkileyen, genellikle X-bağlı kalıtım gösteren nadir bir iskelet displazisidir.
- Patogenez: En sık neden genetik neden TRAPPC2 (SEDL) gen mutasyonudur. Bu gen hücre içi protein taşınmasında görevli TRAPP kompleksinin bir parçasını kodlar.
Sonuç: Kıkırdak matriksi zayıflar, endokondral kemikleşme yetersiz olur
- Güncel uluslararası konsensüs kriterleri gibi standardize tanı rehberleri yoktur; bunun yerine tanı klinik bulgular + radyolojik özellikler ve genetik testlerle desteklenir.
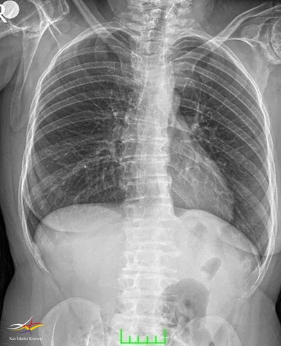
- Klinik Özellikler: Kısa boy-kısa gövde: Özellikle ergenlik öncesi veya ergenlik döneminde gelişir. Gövde kısalığı ve fıçı göğsü belirgin olabilir. Her iki kol uzunluğu boy uzunluğundan fazla olur
Aile öyküsü: Ailede X-linked resesif kalıtım paterni, özellikle erkeklerde benzer yakınmalar, tanıyı güçlendirir.
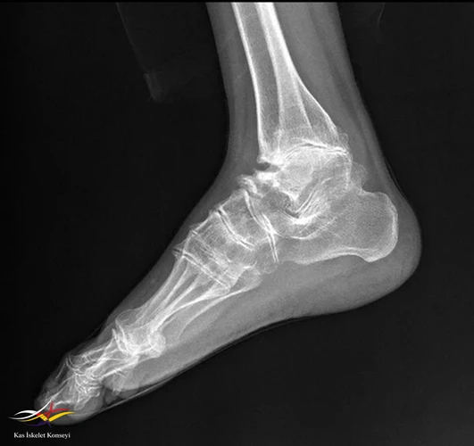
- Radyolojik Bulgular
2. Epifizyal değişiklikler: Uzun kemiklerin epifizlerinde irregular yapı, morfolojisi bozulmuş epifizler.
Femur başında: Kısa femoral boyun, coxa vara, kalça çıkığı veya düzensiz epifizyal konturlar.
3. Ek bulgular: Omurga büyümesi normal doğumdan sonra başlar, ancak ergenlik öncesinde yavaşlar.
- Genetik tanı: Moleküler tanı, özellikle klinik ve radyolojik bulgular belirsiz olduğunda önemlidir.
-KLİNİK ÖNEM VE EVE GÖTÜRÜLECEK MESAJ:
Bu hastalar erken yaşta JRA, ileri yaşta SERO–RA tanısı alıp gereksiz immunsupresif tedavi alabilirler.
Genç yaşta başlayan osteoartrit bulgularında sistematik değerlendirme gözden kaçmamalı.
Olguyu gönderen: Dr. Gamze Önal Birtane