OLGU 260311-2Myelopati, Sırt Ağrısı, Miyofasyal Ağrı
Yaş-Cinsiyet: 29 yaşında erkek hasta.
Şikayet: Sırt ağrısı.
Hikaye: Son bir yıldır aralıklı sırt ağrısı mevcut. Son 2-3 aydır artmış. Ağrı skapular bölgede noktasal şekilde. Nöropatik vasfı yok. Yayılım göstermiyor. Eşlik eden başka ağrı yok. Hareketle artıyor.
Özgeçmiş: Ek özellik yok
Muayene: Ekstremitelerde kas gücü ve EHA'lar tam. Nörolojik muayene olağan.
İncelemeler: Rutin tetkikler ve romatolojik tetkikler olağan.
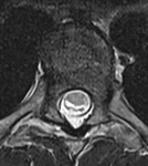
Torakal MR : ½ alt yarımda spinal kord santralinde sadece sagittal T2 serilerde vizualize edilen şüpheli sinyal artışı izlenmiştir. Myelopati ? T9-10 sağ nöral foramen 5 mm perinöral kist. Faset eklem dejenerasyonu.
Torakal MR : ½ alt yarımda spinal kord santralinde sadece sagittal T2 serilerde vizualize edilen şüpheli sinyal artışı izlenmiştir. Myelopati ? T9-10 sağ nöral foramen 5 mm perinöral kist. Faset eklem dejenerasyonu.
Klinik Seyir: NSAİİ ve myorelaksan cevabı iyi.

Resim 1. Torasik MRG.
SONUÇ VE YORUM
Radyolojik görüntülemede şüphelenilen miyelopatik değişikliklerin hastanın mevcut ağrı kliniği ile korelasyon göstermediği düşünüldü. Klinik bulgular ile radyografik verilerin uyumsuzluğu nedeniyle, hastanın semptomları ön planda miyofasiyal ağrı sendromu lehine değerlendirildi. Olası progresyon açısından miyelopati yönünden klinik takibi uygun görüldü.
Olguyu gönderen: Dr. Ali Uygur
Kategori: