OLGU 260325Bacaklarında Uyuşma, Yürüyememe, Bel Ağrısı
Yaş-Cinsiyet: 66 yaşında kadın hasta. Emekli öğretmen..
Şikayet: Bacaklarında uyuşma, yürüyememe, bel ağrısı.
Hikaye: 10 yıldır bulunan yakınmalar son bir yılda artmış, sol hakim bacaklarda uyuşma var ve 100 metre yol yürüyebiliyor.
Özgeçmiş: Panik atak, temizlik endişesi.
Muayene: Sol ayak dorsifleksiyonu minimal zayıf, diğer muayene bulguları normal.
İncelemeler: Lomber BT ve MRG bulguları ektedir.
Klinik Seyir: Hastaya dar kanal yönelik dekompresyon ameliyatı kararı alındı. Sol unilateral yaklaşımla L3-4 ve L4-5 seviyeleri iki yanlı dekompres edildi. Hasta ertesi gün mobilize şekilde ve yürümesinde belirgin rahatlama tarif ederek taburcu edildi. Ancak 10 gün sonra bel ağrısı başlayan hastada CRP 64 (ve daha sonraki kontrolde 72) mg/l, sedimantasyon 21, Lökosit 10 bin bulundu. Yapılan kontrol MRG'de dekompresyonun tam olduğu, kanal içi bir lezyon olmadığı, ancak paravertebral kaslarda iki yanlı kontrast tutulumu olduğu saptandı.

Resim 1. 2029 yılına ait suboptimal MRG de L4-5 listezis ve dar kanal görülmekte.

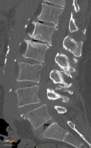
Resim 2. Lomber BT incelemesi.

Resim 3. Lomber MRG'de L2-3 seviyesinde ılımlı bir darlık görülmekte.

Resim 4. L3-4 seviyesinde belirgin bir kanal darlığı mevcut.

Resim 5. L4-5 seviyesinde dejeneratif listezis ve belirgin kanal darlığı görülmekte.

Resim 6. Sagitaal MRG ve MRG myelografide darlık seviyeleri.

Resim 7. Ameliyat sonrası MRG: L3-4 seviyesindeki dekompresyon görülmekte.

Resim 8. L4-5 seviyesindeki dekompresyon görülmekte.

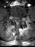
Resim 9. Ameliyat sonrası dönemde yapılan kontrastlı lomber MRG'de iki yanlı olarak paravertebral kaslarda kontrat tutulumu görülmekte.
SONUÇ VE YORUM
Olguyu gönderen: Dr. Cumhur Kılınçer